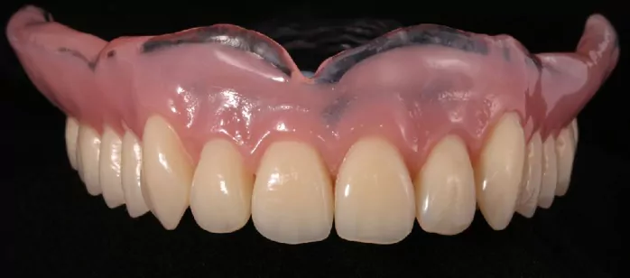
Hat ein Patient alle seine natürlichen Zähne verloren, benötigt er dringend eine sogenannte „Voll- oder Totalprothese“. Bleibt ein Kiefer unversorgt, verändert sich der nun zahnlose Kieferkamm. Er wird immer weniger, flacher. Je flacher der Kieferkamm, desto weniger Halt findet eine Vollprothese.
Häufig beklagen sich Patienten, dass ihre Totalprothese nicht hält. Eine Totalprothese im Ober-kiefer hält besser als eine im Unterkiefer. Der Grund dafür ist die flächige Mundfeuchtigkeit am Gaumen. Dadurch entwickeln sich Adhäsionskräfte – also eine Verbindung zwischen Mund-schleimhaut und Kunststoffbasis – die dafür sorgen, dass sich die Prothese an den Gaumen saugt.
Eine trockene Mundhöhle steht einem adhäsiven Halt der Prothese entgegen. Dieses Phäno-men findet man vor allem bei älteren Patienten.
Eine Unterkiefervollprothese hat auf dem Kieferkamm nur eine relativ kleine Auflagefläche. Zudem ist der Unterkiefer (im Gegensatz zum Oberkiefer), sowie die Zunge, beim Sprechen, Singen, Essen, Trinken etc. ständig in Bewegung. Daraus ergeben sich zwangsläufig mehr Haftungsprobleme, als bei der Oberkiefertotalprothese.
Im Laufe eines Lebens verändern sich die Kiefer und damit die Stellung der Zähne auf den Kiefern. Durch ein ganz spezielles Verfahren („Cranial-System“) ist es den Experten von Best Dental möglich, Versorgungen, egal ob total oder partiell, so zu planen und herzustellen, wie die Zähne ursprünglich einmal gestanden haben.





